服務範疇 產前診斷服務 常規胎兒結構性超聲波(18-22週)


進行胎兒結構性超聲波的目的是詳細檢查胎兒是否有結構異常。大部份胎兒都沒有異常,而一個正常的超聲波報告能令父母更安心。倘若胎兒結構異常,能夠在出生前作出準確診斷,對懷孕處理是很重要的。父母、產科醫生及兒科醫生對胎兒缺陷有預先了解,有助準備胎兒出生。若胎兒缺陷嚴重,父母或可選擇終止懷孕。

結構性超聲波有什麼限制?
結構性超聲波之準確性礙於許多因素,未能診斷出所有胎兒的結構異常。一般而言,超聲波掃描可以診斷70-80%嚴重先天性結構上的缺憾,包括器宮異常的嚴重程度及性質、胎兒位置是否理想、孕婦腹部脂肪層的厚度或有否動過手術、超聲波儀器的質素,以及負責進行超聲波的人員是否有足夠的訓練和經驗等。

結構性超聲對胎兒是否安全?
產前超聲波早於60年代已用作診斷用途。大量有關出生前接受過超聲波檢查之兒童的研究指出,現時未有任何證據顯示產前超聲波會對胎兒構成不良影響。

超聲波影像

早孕期


懷孕6週的胎囊與卵黃囊
懷孕9週的胚胎頭臀長
懷孕12週的胎兒頭臀長
早孕期頸皮厚度
早孕期側面輪廓
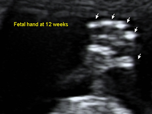
懷孕12週的胎兒手掌
懷孕12週的男性胎兒性 器官(箭咀)
懷孕12週的女性胎兒性 器官(箭咀)



中孕期 - 頭及面部


中孕期的胎兒腦部
懷孕17週的胎兒小腦
中孕期的側面輪廓
中孕期的鼻子與咀唇



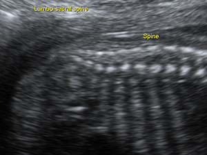
脊椎


中孕期的胎兒脊骨



腹部


胎兒肚子之橫切面
胎兒肚子之臍帶入口
胎兒膀胱
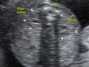
兩個胎兒腎臟



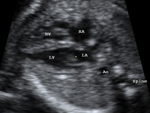
心臟


胎兒心臟四腔平面圖
胎兒心臟主動脈外流道平面圖
胎兒心臟肺動脈外流道平面圖
胎兒心臟三血管平面圖
心臟主動脈外流道以彩色顯示血流方向
肺動脈與主動脈血流



四肢


懷孕20週的胎兒手掌


男性

懷孕18週的男性胎兒性器官(箭咀)
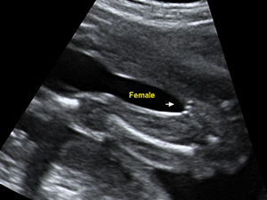
女性

懷孕20週的女性胎兒性器官(箭咀)